At the Kisállat-Ambulancia:
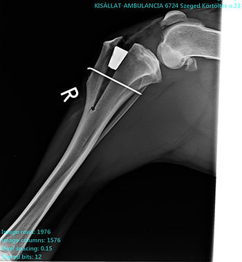
“A 3-year-old Cane Corso mix dog began to limp severely on his right hind leg a few days ago. The owners traveled approximately 100 km to come to us for an examination, where it was revealed that the cranial cruciate ligament in the right knee had ruptured.

As a result, the leg was unstable, because with every step the tibia ‘slides forward’ from under the femur. This condition can occur in dogs of any type, but it is much more common in large-breed dogs. In most cases, the cause is not a sudden traumatic injury (as seen in human athletes), but rather a developmental abnormality: due to an incorrect angulation of the knee joint, excessive strain is placed on the cranial cruciate ligament, which eventually fails. Unfortunately, damage to the medial meniscus (the crescent-shaped cartilage) is also frequently associated with ligament rupture.
This problem can only be resolved surgically. Without surgery, the knee joint will progressively wear out, leading to chronic deforming osteoarthritis, resulting in constant pain and persistent lameness.
One very effective surgical solution, after cleaning the joint, is to modify the joint angle by inserting a special integrating wedge. This changes the plane of the patellar tendon so that it becomes perpendicular to the tibial plateau. In this way, this tendon—together with the corrected angulation—takes over the function of the original cruciate ligament and bears the load.
Based on nearly 50 such surgeries I have performed so far, the outcome is that dogs usually begin to bear weight on the operated leg just a few days after surgery, and after approximately two months they use the leg almost perfectly.
Prior to surgery, this dog—like all others—also underwent heartworm testing, which was negative.”
— Dr. Antal Rengei
Two weeks after the surgery, the owner sent us a video of Athos, showing how well he was already using his leg.
If you notice any problems with your pet, please contact our veterinarians with confidence—we are here to help.